首页 维乐品牌 牙科项目 诊疗中心 医院环境 维乐公益 门诊地址 来院路线
首页 > 口腔科普 > 正文

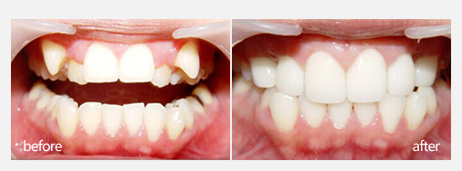
洛阳地区虎牙矫正多少钱?

  很多成人为了牙列不齐,愁着要去牙齿矫正,然而却认为成人牙齿矫正不好矫正,肯定价格昂贵,就对牙齿矫正望而却步了。其实,相对于烤瓷牙、种植牙修复来说,成人牙齿矫正并不贵,因为成人牙齿矫正是针对全口的修复,具体到每颗牙齿就很便宜了。那么,究竟成人虎牙矫正要多少钱呢?

  洛阳维乐口腔的医师介绍说牙齿矫正成人一般在万元以上,儿童牙齿矫正一般在几千元左右,成人牙齿矫正贵是因为牙槽骨已经完全发育矫正时间长则所需的费用也会随之增加;儿童做牙齿矫正一般要比成人矫正快而且花钱少。

  洛阳维乐口腔矫治器让你有更多的选择

  1、活动矫治器:一般常用于乳牙和替牙期的比较简单的错和畸形的矫正,或者配合固定矫治器进行矫治。病人自己可以摘戴。

  2、固定轿治器:为常用的矫治器。患者自己不能摘戴。》》》在线咨询选择哪种矫正器好

  3、隐形轿治器:洛阳维乐口腔引进的隐形矫正器患者可以自行摘带并且具有舒适、美观、隐形等优点深受爱美者的喜爱。

  洛阳维乐口腔牙齿矫正4大优势 美丽从“齿”开始

  专业技术:除了有强大的正畸团队之外,洛阳维乐口腔医师每年都会定期到国外进行交流学习,矫正技术远超同行。

  进口材料:维乐口腔医院和众多国际知名材料供应商保持着长期合作的关系,确保每种材料均为国际进口,保证齿间上的安全。

  量齿定做:无论是拍片取模、测量比对,还是制定矫正方案或是矫正过程中,每一步都精细到0.1mm,杜绝误差。》》》在线咨询隐形矫正多少钱?

  贴心服务:接待、诊查、治疗、回访,每个流程都由专人负责,随时解答顾客的疑问,温馨、贴心。

  【温馨提示】:感谢洛阳维乐口腔医院的信任与支持!文章内容仅供参考,治疗牙齿的方法有多种,不同人不同设计方式手术方法也不同,具体治疗方案请点击咨询在线医生咨询。文章内容仅供参考,如果您有不明白的地方可点击在线咨询医师,祝您健康美丽每一天!



24小时咨询电话:0379-65989596(节假日不休息)

|洛阳同城

长申店:涧西区南昌路与辽宁路交叉口东北角

七一路店:西工区凯旋西路与七一路交叉口向南300米

春都路店:老城区定鼎大桥与春东路交叉口路南

凌宇犀地店:西工区解放路与纱厂东路交叉口

盛唐至尊店:洛龙区王城大道与古城快速路交叉口

沃德店:涧西区珠江路与辽宁路交叉口

大曌店:洛龙区学子街与开元大道交叉口