首页 维乐品牌 牙科项目 诊疗中心 医院环境 维乐公益 门诊地址 来院路线
首页 > 口腔科普 > 正文

洛阳治疗四环素牙哪家医院好?

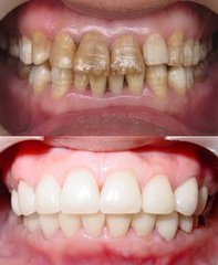
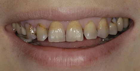
  四环素牙是由于在牙齿发育期间,服用了含有四环素成分的药物,从而引起的牙齿颜色的变化,主要影响牙齿表面的颜色,对面部美观和患者的心理健康有着极大的影响。那么想要治疗四环素牙,却不知道哪里可以治疗,哪家医院比较好?

  治疗四环素牙哪家医院好?维乐口腔医院

  维乐数字美学修复中心,应用德式数字化诊疗及管理系统,从检查、取模、设计、制作、治疗等修复临床过程都通过数字科技完成,真正意义上,实现了数字化、自动化、准确化。

  在维乐你有多种选择方式修复四环素牙

  漂白:漂白分两种,一种是牙齿表面的脱白,二是对于那些牙髓已经坏死的牙齿,在牙根管内放入漂白剂。这两种牙齿美白的方法都没办法把四环素成分从牙齿中置换出来,所以漂白后两年内基本上会失效,如果反复漂白对牙齿会造成一定损害。

  烤瓷冠修复:适合牙体缺损严重,不规则的牙体形状的患者。此法美白的效果非常理想,一直不变色,折射光都跟真牙一致。维乐口腔带来美学锆瓷冠修复,形态、咬合、颜色都与真牙媲美,深受坏牙患者的好评!>>>烤瓷冠修复多少钱?

  瓷贴面:瓷贴面牙齿美白方法,色泽、形态上都比较美观。维乐口腔带来的 3D隐形瓷贴面,不用磨牙、减少疼痛、无麻醉,只需在牙齿表面贴上薄薄的瓷贴面就能轻松获得一口美牙 。

  【维乐推荐--维乐3D隐形瓷贴面】

  维乐口腔带来的3D隐形瓷贴面,少量磨牙、减少疼痛,只需在牙齿表面贴上薄薄的瓷贴面就能轻松获得一口美牙 。

  1、美观大方: 数字3D瓷贴面,美白牙齿是不错的,非常的薄,贴上去,根本看不出来,一般只有0.1mm,美观大方又自然。

  2、少量磨出牙体:在维乐做瓷贴面,少量磨除牙体,也可达到很好的效果。

  3、粘结剂好:维乐专用粘性非常的好的粘结剂,没有任何的副作用,可以使用很多年。>>>维乐3D隐形瓷贴面多少钱?点击咨询

  【温馨提示】为保牙齿的健康美观请一定要到正规专业的医院进行检查与治疗,如有疑问还可以点击在线咨询与我们的医生进行一对一的交流,也可以拨打我们的咨询电话:400-9988-068.欢迎您的咨询!



24小时咨询电话:0379-65989596(节假日不休息)

|洛阳同城

长申店:涧西区南昌路与辽宁路交叉口东北角

七一路店:西工区凯旋西路与七一路交叉口向南300米

春都路店:老城区定鼎大桥与春东路交叉口路南

凌宇犀地店:西工区解放路与纱厂东路交叉口

盛唐至尊店:洛龙区王城大道与古城快速路交叉口

沃德店:涧西区珠江路与辽宁路交叉口

大曌店:洛龙区学子街与开元大道交叉口