首页 维乐品牌 牙科项目 诊疗中心 医院环境 维乐公益 门诊地址 来院路线
首页 > 口腔科普 > 正文

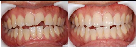
门牙磨坏了怎么修复

  牙齿磨耗是指在没有龋坏和菌斑的情况下牙齿硬组织的丧失。生理性磨损也称为咀嚼磨损,而其它不是由于正常咀嚼过程所致的牙齿磨损,为一种病理现象,统称为非咀嚼磨损。那么,门牙磨坏了怎么修复?

  门牙磨坏了怎么办?该如何治疗?

  维乐口腔医生表示,一般生理性的牙齿磨损是正常的,若无明显症状则无需处理。但若是病理性磨损(如蛀牙引起的牙齿缺损)或者意外引起的牙齿缺损,已经影响了外貌美观甚至牙齿的正常功能,则必须进行牙齿修复,即补牙。特别提醒牙齿缺损的患者们,无论何种原因造成的牙齿缺损,也不论缺损牙齿数目,均应及时修复,以便恢复牙列的完整及功能,这也有利于保持余留牙牙槽骨和其他口腔组织的健康。>>>提交牙齿情况,在线核算修复费用

  修复牙齿磨损,就到维乐口腔,两大修复技术还你完美牙齿!

  一、维乐瓷贴面

  维乐口腔引进的3D瓷贴面是目前较高品质的瓷贴面技术,一经推出便风靡欧美日韩,它会根据求美者牙齿的高低厚薄进行3D精细化量齿定制,只需在牙齿表面贴上薄薄的、德国原装进口的全瓷贴片,就能摆脱四环素牙,氟斑牙,个小牙,牙列稀疏等丑牙困扰,轻松拥有持久靓牙!>>>想了解瓷贴面的费用?立即咨询

  二、维乐全瓷牙

  维乐口腔引进的全瓷牙是维乐较先进、较成熟、较具品质的技术之一,该技术以拥有的3-3-4-4黄金美齿法则独步齿科美容界,具有快速正畸,美齿、矫正、治齿一步到位的功效。>>>我要做全瓷牙?免费预约专业医生

  维乐口腔是全国连锁口腔医院, 拥有35城 超100家医院及门诊,维乐从医生到技术,从环境到服务,都全方位的替患者考虑,站在患者的角度,给予较有效的医生技术保障、较舒适温馨的服务环境,让每位爱牙者都在这里收获健康、美丽!>>>在线咨询,离我近的院区

  维乐口腔医生温馨提示:如何预防牙齿磨损?

  一、调整饮食结构,改变不良习惯。多食清淡、口味适中的食物,少食坚硬的干果以及酸性食物。叩齿虽然在促进局部血液循环及维持牙周正常情况方面具有重要作用,但是应在医生指导下采用正确的方法,否则,叩齿过度,也可能造成牙体磨损。>>>在线预约,享免费拍片、免费检查

  二、防治龋病,控制牙周疾病等。重度磨耗牙常有异常的尖窝关系,像杵臼,形成过大的窝和过陡的嵴或尖,在咀嚼食物的过程中,该异常形态导致恶性循环,牙质破坏更严重,并加重错位咬合,所以需要由专业医师调整咬合面。>>>我的牙齿上有黑点怎么办?

  三、提高牙齿防治的意识,及时修复缺失牙。老年人牙齿因为很多原因会部分丧失,缺牙的空隙不仅会使周围的牙倾斜,而且会改变咀嚼习惯,导致咀嚼侧的牙过度磨损。所以要利用固定或可摘义齿正确恢复患者的咬合垂直距离,从而提高老年人的生活质量。>>>我的牙齿缺失了一颗怎么办?

  温馨提示:维乐口腔所有技术都由专业医疗质量认证,非常专业,如果您还有其他相关疑问,可【在线咨询】,维乐口腔在线医生会详细为您解析。如果想就诊,您可提前【预约挂号】,凭号到院优先就诊。



24小时咨询电话:0379-65989596(节假日不休息)

|洛阳同城

长申店:涧西区南昌路与辽宁路交叉口东北角

七一路店:西工区凯旋西路与七一路交叉口向南300米

春都路店:老城区定鼎大桥与春东路交叉口路南

凌宇犀地店:西工区解放路与纱厂东路交叉口

盛唐至尊店:洛龙区王城大道与古城快速路交叉口

沃德店:涧西区珠江路与辽宁路交叉口

大曌店:洛龙区学子街与开元大道交叉口