首页 维乐品牌 牙科项目 诊疗中心 医院环境 维乐公益 门诊地址 来院路线
首页 > 口腔科普 > 正文

洛阳补牙多少钱

  随着全世界经济、文化以及社会的飞速发展,人们对口腔健康也越来越重视。目前,世界卫生组织已经将口腔健康列为人体健康的十项标准之一。近年来,受到人们饮食、生活习惯中的不良因素影响,牙齿缺损频频高发。保护口腔健康,及早的补牙修复非常关键。那么,补牙多少钱?

  【哪种情况需要补牙】

  补牙分为蛀牙补牙和牙齿缺损补牙,两者费用有所差别,蛀牙补牙相对便宜,具体费用要看患者的牙齿状况。维乐口腔采用不同补牙技术,在透明消费的情况下,满足您的不同补牙需求。无论是哪种情况,当牙齿出现情况时我们都应该及时的去治疗,以免影响我们的工作和生活。>>>不清楚牙齿具体情况? 咨询在线牙医

  【洛阳补牙多少钱】

  维乐口腔医生介绍,补牙是一件常见的口腔修复方式,对于蛀牙、意外等原因造成的牙齿缺损、牙洞等问题,补牙是较好的办法,而补牙的价格和很多方面的因素都有关系,包括:

  1、补牙的价格和补牙的材料有关,患者选择的材料不同,价格也不同。

  2、与缺损、龋患程度有关 >>>结合自身症状,咨询补牙方法

  3、补牙的价格和地区、医院有关,每个地区、医院的收费标准是不一样的。比如不正规的黑诊所肯定要比正规的口腔医院便宜。>>>还是不明白?在线咨询医生

  情况一:【小洞不补,大洞吃苦——龋齿补牙】

  很多人都患过龋齿,尤其是青少年。龋齿发展严重会产生剧痛,尤其晚上睡觉时更是疼痛难忍。因此,一旦患了龋齿就应及早到正规医院治疗,以免小洞不补,大洞吃苦。发展为大洞,就会引起牙齿松动,最后伤及牙根,只能拔掉再修复。

  医生推荐:补牙较好的材料——3M树脂补牙

  维乐口腔选择的进口3M树脂材料【询价】,颜色和硬度与天然牙相近。受到摩擦,只是磨损到一个纳米级的颗粒,抗压性、抗张性以及持久性适应于多方面。>>>维乐树脂补牙适合我吗?

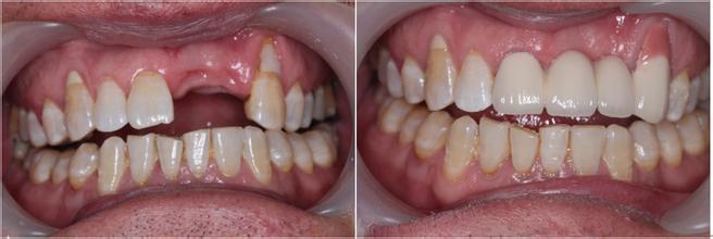
  情况二:【牙齿缺损、脱落,无法进食——修复补牙】

  目前很多患者前来医院,要将缺失的牙齿补回来。我院医生提醒广大患者,如果您的牙齿从牙根就脱落,或者由于深龋导致牙根损坏,针对此类情况,推荐维乐两大补牙修复方法。>>>修复补牙2大技术,了解技术详情

  医生推荐:修复补牙欢迎的技术——种植牙技术、全瓷冠

  全瓷冠:多用于前牙的美容和牙体缺损修复,如变色牙、四环素牙、畸形牙等,残根、残冠经根管治疗后。不含任何金属,因此透光性好,颜色更接近自然牙,非常美观,是目前接近天然色的美容修复方法。>>>在线咨询,维乐全瓷冠多少钱?

  种植牙:是利用人工种植材料制成各种形状的骨内种植本,植入到颌骨内或牙槽窝内作为基牙,在其上制作固定桥。此种种植体可以恢复单个多个以及全口牙缺失,也可与另一端的天然牙联合制作固定桥。>>>在线预约,维乐种植牙

  【维乐口腔医生提醒】补牙是一个较为复杂的过程,花费的时间也比较长。所以患者一定要前往专科医院,找经验丰富的医生就诊,不要因贪图方便而接受非专业的治疗,维乐口腔是您的较好选择。如果您还有什么疑问,可以拨打我院24小时免费服务热线:400-9988-068,我们的在线医生将竭诚为您解答!



24小时咨询电话:0379-65989596(节假日不休息)

|洛阳同城

长申店:涧西区南昌路与辽宁路交叉口东北角

七一路店:西工区凯旋西路与七一路交叉口向南300米

春都路店:老城区定鼎大桥与春东路交叉口路南

凌宇犀地店:西工区解放路与纱厂东路交叉口

盛唐至尊店:洛龙区王城大道与古城快速路交叉口

沃德店:涧西区珠江路与辽宁路交叉口

大曌店:洛龙区学子街与开元大道交叉口