种植牙和烤瓷牙是牙齿修复中常见的两种方式,但是他们的区别也是很大的,其修复效果以及适应...【详细】
如今人们对于美的追求更进一步,其中牙齿的美观度尤为突出,在众多牙齿美容修复技术中瓷贴面...【详细】
牙周炎应该怎么治疗?牙周炎是侵犯牙龈和牙周组织的慢性炎症,是一种破坏性疾病,其主要特征...【详细】
维乐口腔医生指出:目前中国大约有百分之八十的人群患过或者现在患有蛀牙,蛀牙的存在严重影...【详细】
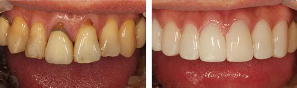
烤瓷牙的出现成为牙齿修复重要突破,针对牙齿缺损、四环素牙、氟斑牙都能起到改善作用。在...【详细】
人们常说爱笑的女生运气都不会太差,一口整齐健康的牙齿加上灿烂的笑容,试问还有谁能阻挡这...【详细】
24小时咨询电话:0379-65989596(节假日不休息)
|洛阳同城
长申店:涧西区南昌路与辽宁路交叉口东北角
七一路店:西工区凯旋西路与七一路交叉口向南300米
春都路店:老城区定鼎大桥与春东路交叉口路南
凌宇犀地店:西工区解放路与纱厂东路交叉口
盛唐至尊店:洛龙区王城大道与古城快速路交叉口
沃德店:涧西区珠江路与辽宁路交叉口
大曌店:洛龙区学子街与开元大道交叉口
洛阳涧西维乐口腔门诊部有限公司 备案号:豫ICP备17011089号