为了让自己的口腔更健康,有很多患者都选择去医院进行了洗牙治疗。还有一些想要洗牙的爱...【详细】
牙结石的存在严重的影响了很多爱牙人士的口腔健康,所以很多人都选择了洗牙的方法去除。目...【详细】
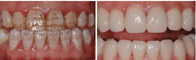
牙结石的存在严重的影响了人们的口腔健康,它经常刺激牙龈,容易出现口腔炎症。所以现在...【详细】
喷砂洗牙多少钱一次?齿白似玉是每个人都向往的,但并不是每个人都能如愿。譬如很多人因为...【详细】
如今洗牙已经成了非常受欢迎的一种牙齿清洁方式,洗牙是一种行之有效的口腔保健方法不仅能够...【详细】
牙齿的健康对我们很重要也是保障我们全身健康的重要条件,而通过定期洗牙护理就是一种有效的...【详细】
24小时咨询电话:0379-65989596(节假日不休息)
|洛阳同城
长申店:涧西区南昌路与辽宁路交叉口东北角
七一路店:西工区凯旋西路与七一路交叉口向南300米
春都路店:老城区定鼎大桥与春东路交叉口路南
凌宇犀地店:西工区解放路与纱厂东路交叉口
盛唐至尊店:洛龙区王城大道与古城快速路交叉口
沃德店:涧西区珠江路与辽宁路交叉口
大曌店:洛龙区学子街与开元大道交叉口
洛阳涧西维乐口腔门诊部有限公司 备案号:豫ICP备17011089号