牙齿有洞经常使人痛苦不堪,吃东西食物进牙洞,难以清洁;常常发出一股恶臭让人非常尴尬;在众...【详细】
牙齿缺损的原因有很多,如龋齿、牙齿的釉质发育不全,牙齿磨损,以及外伤都可以能会导致牙齿...【详细】
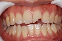
生活中不少人,因为遗传或不当的生活习惯导致门牙中间有缝隙,从而使得吃食物经常塞牙,而且...【详细】
牙齿矫正不但可以将让牙齿重新排列整齐,还可以改变脸型、重建咀嚼能力,便于口腔卫生的清洁。...【详细】
最近几年,我们生活中食物的含糖量越来越高了,随之而来的就是龋齿患者越来越多,龋齿的存在...【详细】
牙齿矫正不但可以将让牙齿重新排列整齐,还可以改变脸型、重建咀嚼能力,便于口腔卫生的清洁...【详细】
24小时咨询电话:0379-65989596(节假日不休息)
|洛阳同城
长申店:涧西区南昌路与辽宁路交叉口东北角
七一路店:西工区凯旋西路与七一路交叉口向南300米
春都路店:老城区定鼎大桥与春东路交叉口路南
凌宇犀地店:西工区解放路与纱厂东路交叉口
盛唐至尊店:洛龙区王城大道与古城快速路交叉口
沃德店:涧西区珠江路与辽宁路交叉口
大曌店:洛龙区学子街与开元大道交叉口
洛阳涧西维乐口腔门诊部有限公司 备案号:豫ICP备17011089号