烤瓷牙具有许多显着的优点,但是又有一个明显的缺点,那就是会对牙龈有较大的伤害。为了保护...【详细】
氟斑牙有哪些危害?氟斑牙发生在牙齿钙化期(七,八岁前),是因为饮用了含氟量高的水而导致牙...【详细】
拔牙费用是多少一颗?当我们的牙齿出现严重松动、牙根断裂等问题,且毫无保留价值时;医生常常...【详细】
牙面失去正常光泽,出现不透明斑块。黄黄的牙齿,从此就告别了笑容。日子长了,连笑都不知道...【详细】
日常生活中有氟斑牙的人不在少数,氟斑牙的存在会影响我们的牙齿美观,继而影响到我们的整体...【详细】
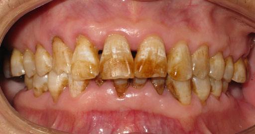
幼年时期,正是身体各部分发展的重要时期。而此时,牙釉质却被服用的四环素药物腐蚀侵害,造...【详细】
24小时咨询电话:0379-65989596(节假日不休息)
|洛阳同城
长申店:涧西区南昌路与辽宁路交叉口东北角
七一路店:西工区凯旋西路与七一路交叉口向南300米
春都路店:老城区定鼎大桥与春东路交叉口路南
凌宇犀地店:西工区解放路与纱厂东路交叉口
盛唐至尊店:洛龙区王城大道与古城快速路交叉口
沃德店:涧西区珠江路与辽宁路交叉口
大曌店:洛龙区学子街与开元大道交叉口
洛阳涧西维乐口腔门诊部有限公司 备案号:豫ICP备17011089号