21世纪,大家更注重自身口腔健康,洗牙非常普遍,不过现在口腔医院很多,洛阳静安区洗牙去...【详细】
21世纪,大家更注重自身口腔健康,洗牙非常普遍,不过现在口腔医院很多,洛阳静安区洗牙去...【详细】
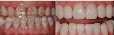
日常生活中有氟斑牙的人不在少数,氟斑牙的存在会影响我们的牙齿美观,继而影响到我们的整体...【详细】
为了不让牙垢的存在影响我们的口腔健康,有很多爱牙人士都选择了进行超声波洗牙。还有一...【详细】
牙结石的存在严重的影响了我们的面部形象以及口腔健康,所以及时去除很重要。近喷砂洁牙的...【详细】
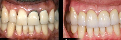
牙齿松动,镶牙需要多少钱?牙齿松动、牙齿缺损给我们的正常生活、工作和学习等带来极大的不...【详细】
24小时咨询电话:0379-65989596(节假日不休息)
|洛阳同城
长申店:涧西区南昌路与辽宁路交叉口东北角
七一路店:西工区凯旋西路与七一路交叉口向南300米
春都路店:老城区定鼎大桥与春东路交叉口路南
凌宇犀地店:西工区解放路与纱厂东路交叉口
盛唐至尊店:洛龙区王城大道与古城快速路交叉口
沃德店:涧西区珠江路与辽宁路交叉口
大曌店:洛龙区学子街与开元大道交叉口
洛阳涧西维乐口腔门诊部有限公司 备案号:豫ICP备17011089号