假牙,又名义齿,是人们在牙齿缺失后,医生为恢复患者的咀嚼、发音等问题而做的假牙,随着医...【详细】
门牙的重要性想必我们大家都是十分的了解,假如缺失了门牙那必然会对患者所造成的影响是非常大的...【详细】
生活中很多人都受着牙龈出血的困扰,还有的人除了牙龈出血还伴发着口臭。由于不知道应该如...【详细】
丑牙——生活的绊脚石 洁白整齐的牙齿、健康迷人的笑容无论是生活还是职场上总会给人留下...【详细】
生活中很多人都受着牙龈肿痛的困扰,还有的人除了牙龈肿痛还伴发着出血。由于不知道应该如...【详细】
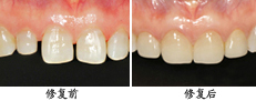
牙齿不仅影响着我们咀嚼食物,而且也算得上是我们面部工程的形象担当之一,牙齿断裂不仅影响...【详细】
24小时咨询电话:0379-65989596(节假日不休息)
|洛阳同城
长申店:涧西区南昌路与辽宁路交叉口东北角
七一路店:西工区凯旋西路与七一路交叉口向南300米
春都路店:老城区定鼎大桥与春东路交叉口路南
凌宇犀地店:西工区解放路与纱厂东路交叉口
盛唐至尊店:洛龙区王城大道与古城快速路交叉口
沃德店:涧西区珠江路与辽宁路交叉口
大曌店:洛龙区学子街与开元大道交叉口
洛阳涧西维乐口腔门诊部有限公司 备案号:豫ICP备17011089号