单颗牙齿缺失是在生活中比较常见,但却经常被人们所忽视,更多的朋友还会觉得缺牙并没有什么太大...【详细】
【口腔咨询】:近我爷爷一直说牙齿疼,晚上疼的睡不着觉,去医院看了说是牙髓炎。所以很想知...【详细】
洛阳做种植牙医院哪里好?如果牙齿能够整齐洁白,或许能够让人更加有自信。作为一个吃货,我想很...【详细】
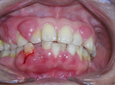
作为常见的口腔疾病之一,牙周炎的出现让很多爱牙人士苦恼不已,所以如何治疗牙周炎是很多...【详细】
牙周炎是一种常见的口腔疾病,它的出现让很多爱牙人士苦恼不已,所以及早进行治疗是关键。...【详细】
牙周炎是一种很常见的口腔疾病,很多人因为没有及早治疗,使得引起牙齿松动了才知道害怕。...【详细】
24小时咨询电话:0379-65989596(节假日不休息)
|洛阳同城
长申店:涧西区南昌路与辽宁路交叉口东北角
七一路店:西工区凯旋西路与七一路交叉口向南300米
春都路店:老城区定鼎大桥与春东路交叉口路南
凌宇犀地店:西工区解放路与纱厂东路交叉口
盛唐至尊店:洛龙区王城大道与古城快速路交叉口
沃德店:涧西区珠江路与辽宁路交叉口
大曌店:洛龙区学子街与开元大道交叉口
洛阳涧西维乐口腔门诊部有限公司 备案号:豫ICP备17011089号