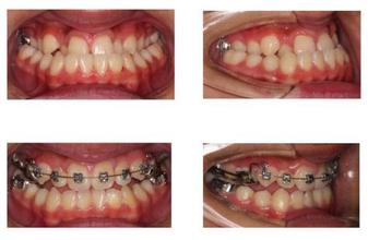
牙齿不齐是困扰很多朋友,不但影响面部的美观、让笑容失去光彩,还会导致牙齿咬合不好对身体...【详细】
牙齿矫正需要多长时间?维乐口腔医师介绍说:戴牙套具体多长时间不定,因为每个人牙齿畸形的...【详细】
地包天矫正去哪家医院好?地包天在我们生活中是一种常见的现象。那么地包天可以矫正吗,怎...【详细】
矫正牙齿费用是很 多人关心的问题,洛阳维乐口腔专家指出,影响牙齿正畸价格的因素有很多,...【详细】
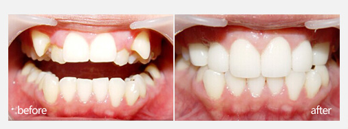
很多人出现牙齿前突的现象都会去矫正牙齿,只有矫正完牙齿之后才能够保证自己的笑容 是美...【详细】
很多成人为了牙列不齐,愁着要去牙齿矫正,然而却认为成人牙齿矫正不好矫正,肯定价格昂贵...【详细】
24小时咨询电话:0379-65989596(节假日不休息)
|洛阳同城
长申店:涧西区南昌路与辽宁路交叉口东北角
七一路店:西工区凯旋西路与七一路交叉口向南300米
春都路店:老城区定鼎大桥与春东路交叉口路南
凌宇犀地店:西工区解放路与纱厂东路交叉口
盛唐至尊店:洛龙区王城大道与古城快速路交叉口
沃德店:涧西区珠江路与辽宁路交叉口
大曌店:洛龙区学子街与开元大道交叉口
洛阳涧西维乐口腔门诊部有限公司 备案号:豫ICP备17011089号